Los casos de cáncer de esófago están en aumento a nivel mundial, y esto se debe en parte a dos factores de riesgo principales: la pandemia de obesidad y el incremento en el reflujo. Según la Dra. Shanda Blackmon, cirujana torácica de Mayo Clinic, estos factores están contribuyendo al aumento de la incidencia de cáncer de esófago. Sin embargo, a pesar de ser un tipo grave de cáncer, las tasas de supervivencia de cinco años se han cuadruplicado en las últimas décadas. Esto se debe en gran medida al tratamiento temprano y la detección oportuna del cáncer de esófago, ya que la supervivencia depende directamente de la etapa en la que se encuentra el paciente, según la Dra. Blackmon.
La importancia de la detección temprana
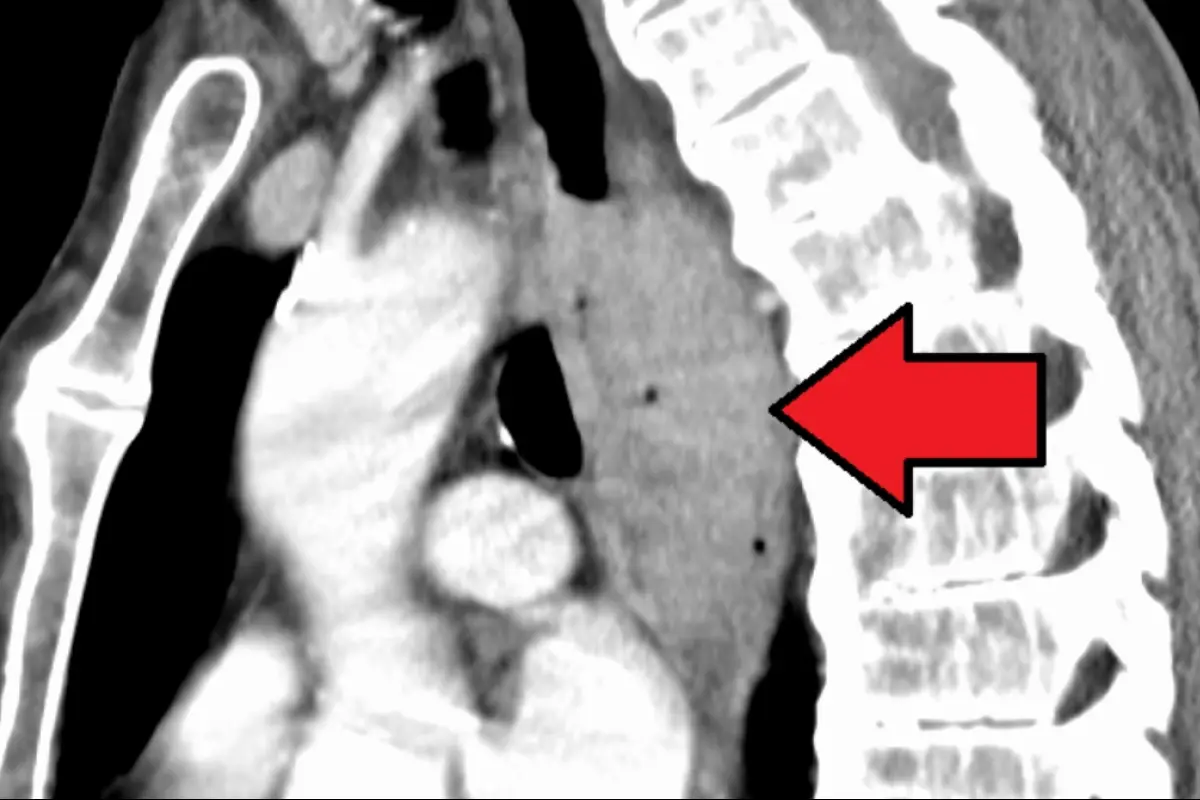
La detección temprana del cáncer de esófago es fundamental para obtener resultados positivos en la supervivencia. La Dra. Blackmon enfatiza que los tratamientos de invasión mínima son posibles cuando se detecta el cáncer en etapas iniciales. Esto permite preservar el esófago y realizar cirugías como la esofagectomía, en la que se extirpa una parte pequeña o el esófago en su totalidad, dependiendo de la etapa y el grado del tumor. La forma en que se extirpa y reconstruye el esófago varía según cada caso.
Síguenos en: 
Ventajas de la esofagectomía de invasión mínima
En comparación con la esofagectomía abierta, la esofagectomía de invasión mínima ofrece varias ventajas para el paciente. Tras este procedimiento, el paciente experimenta una recuperación más rápida y siente menos dolor. Además, se realiza una reconstrucción del esófago adaptada a cada situación particular, lo que favorece el proceso de rehabilitación y mejora la calidad de vida del paciente.
Prevención del cáncer de esófago
Tomar decisiones saludables puede contribuir en gran medida a la prevención del cáncer de esófago. Aquí hay algunas recomendaciones clave:
- Seguir una dieta saludable, rica en frutas y verduras.
- Mantener un peso saludable.
- No fumar.
- Evitar beber líquidos calientes.
- Beber alcohol con moderación o evitarlo por completo.
- Controlar el reflujo de ácido estomacal: El reflujo gastroesofágico crónico puede dañar el revestimiento del esófago y aumentar el riesgo de desarrollar cáncer. Se recomienda evitar alimentos y bebidas que desencadenen el reflujo, mantener una posición vertical después de comer y elevar la cabecera de la cama durante el sueño si se experimenta reflujo con frecuencia.
- Limitar la ingesta de alimentos ahumados, encurtidos y salados: Estos alimentos contienen sustancias químicas, como nitritos y nitratos, que pueden aumentar el riesgo de cáncer de esófago. Reducir su consumo puede ayudar a disminuir el riesgo.
- Realizar ejercicio regularmente: Mantener una rutina de actividad física regular puede ayudar a mantener un peso saludable y reducir el riesgo de cáncer de esófago.
- Realizar revisiones médicas periódicas: Es importante someterse a exámenes médicos regulares, especialmente si se tienen factores de riesgo como reflujo crónico, obesidad o antecedentes familiares de cáncer de esófago. Los médicos pueden recomendar pruebas de detección como la endoscopia o la radiografía de bario para evaluar el estado del esófago y detectar cualquier anomalía temprana.